Implanty zębów cała szczęka cena Lublin
Implanty zębów to coraz popularniejsza metoda odbudowy brakujących zębów, a ich cena w Lublinie może się znacznie różnić w zależności od wielu czynników. Warto zwrócić uwagę, że koszt implantów obejmuje nie tylko samą procedurę wszczepienia, ale również konsultacje, badania diagnostyczne oraz ewentualne dodatkowe zabiegi, takie jak podniesienie dna zatoki czy regeneracja kości. W Lublinie ceny implantów zębów mogą zaczynać się od około pięciu tysięcy złotych za jeden implant, a w przypadku pełnej odbudowy całej szczęki koszty mogą wynosić nawet kilkadziesiąt tysięcy złotych. Warto również pamiętać, że niektóre kliniki oferują różne promocje oraz pakiety, które mogą obniżyć całkowity koszt leczenia. Dodatkowo, jakość materiałów używanych do produkcji implantów oraz doświadczenie lekarza również mają wpływ na ostateczną cenę.
Co wpływa na cenę implantów zębów w Lublinie
Cena implantów zębów w Lublinie jest determinowana przez szereg czynników, które warto mieć na uwadze przed podjęciem decyzji o leczeniu. Po pierwsze, istotnym elementem jest rodzaj używanego implantu. Na rynku dostępne są różne marki i modele implantów, które różnią się jakością oraz ceną. Wybór tańszego implantu może wiązać się z ryzykiem niższej trwałości lub estetyki. Kolejnym czynnikiem wpływającym na koszt jest doświadczenie i kwalifikacje stomatologa przeprowadzającego zabieg. Lekarze o większym doświadczeniu często pobierają wyższe stawki za swoje usługi, co przekłada się na wyższą jakość leczenia. Dodatkowo lokalizacja kliniki również ma znaczenie; gabinety w centrum miasta mogą być droższe niż te położone na obrzeżach.
Jakie są zalety i wady implantów zębów w Lublinie

Implanty zębów to rozwiązanie, które ma wiele zalet, ale także pewne wady, które warto rozważyć przed podjęciem decyzji o ich wszczepieniu w Lublinie. Do głównych zalet należy trwałość i stabilność implantów; przy odpowiedniej pielęgnacji mogą one służyć przez wiele lat, a nawet całe życie. Implanty wyglądają i funkcjonują jak naturalne zęby, co znacząco poprawia komfort życia pacjentów oraz ich estetykę uśmiechu. Ponadto, proces ich wszczepienia jest zazwyczaj mniej inwazyjny niż tradycyjne mosty czy protezy. Z drugiej strony istnieją pewne ograniczenia związane z implantami; nie każdy pacjent jest odpowiednim kandydatem do tego typu leczenia. Osoby z chorobami przyzębia czy niewystarczającą ilością kości mogą wymagać dodatkowych zabiegów przed wszczepieniem implantu.
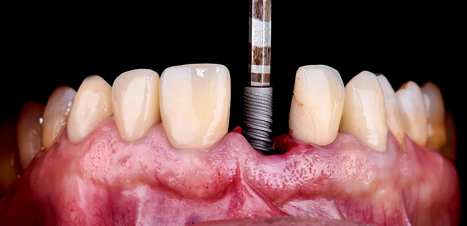
Jak wygląda proces zakupu implantów zębów w Lublinie
Proces zakupu implantów zębów w Lublinie rozpoczyna się od wizyty u stomatologa, który oceni stan zdrowia jamy ustnej pacjenta oraz zdecyduje o możliwości przeprowadzenia zabiegu wszczepienia implantu. Na tym etapie lekarz wykonuje niezbędne badania diagnostyczne oraz zdjęcia rentgenowskie, aby dokładnie ocenić warunki anatomiczne pacjenta. Po postawieniu diagnozy lekarz przedstawia plan leczenia oraz orientacyjne koszty związane z procedurą. Jeśli pacjent zdecyduje się na zabieg, następuje etap przygotowania do wszczepienia implantu; może to obejmować dodatkowe procedury takie jak regeneracja kości czy leczenie chorób przyzębia. Sam zabieg wszczepienia implantu odbywa się zazwyczaj w znieczuleniu miejscowym i trwa od jednej do kilku godzin w zależności od skomplikowania przypadku.
Gdzie znaleźć najlepsze oferty na implanty zębów w Lublinie
Aby znaleźć najlepsze oferty na implanty zębów w Lublinie warto skorzystać z różnych źródeł informacji dostępnych zarówno online, jak i offline. Internet to doskonałe miejsce do rozpoczęcia poszukiwań; wiele klinik stomatologicznych posiada swoje strony internetowe, gdzie można znaleźć szczegółowe informacje dotyczące oferowanych usług oraz cenników. Warto również zwrócić uwagę na opinie pacjentów zamieszczane na forach internetowych czy portalach społecznościowych; dzięki nim można uzyskać realny obraz jakości usług danej kliniki. Kolejnym sposobem jest skonsultowanie się ze znajomymi lub rodziną, którzy mieli doświadczenie związane z leczeniem implantologicznym; ich rekomendacje mogą okazać się bardzo pomocne.
Jakie są najnowsze technologie w implantologii w Lublinie
W ostatnich latach technologia związana z implantologią zębów znacznie się rozwinęła, co ma ogromny wpływ na jakość i efektywność zabiegów przeprowadzanych w Lublinie. Nowoczesne metody diagnostyczne, takie jak tomografia komputerowa, pozwalają na dokładniejsze zaplanowanie zabiegu oraz precyzyjniejsze umiejscowienie implantu. Dzięki tym technologiom lekarze mogą lepiej ocenić warunki anatomiczne pacjenta, co zwiększa szanse na sukces całego procesu. Kolejnym innowacyjnym rozwiązaniem są implanty cyfrowe, które umożliwiają wykorzystanie technologii CAD/CAM do projektowania i produkcji elementów protetycznych. Dzięki temu proces jest szybszy i bardziej precyzyjny, co przekłada się na lepsze dopasowanie oraz estetykę końcowego efektu. Warto również wspomnieć o zastosowaniu materiałów biokompatybilnych, które zmniejszają ryzyko odrzutu implantu przez organizm pacjenta.
Jakie są opinie pacjentów o implantach zębów w Lublinie
Opinie pacjentów na temat implantów zębów w Lublinie są zazwyczaj pozytywne, co jest wynikiem rosnącej jakości usług stomatologicznych oraz coraz większej liczby zadowolonych pacjentów. Wiele osób podkreśla, że po wszczepieniu implantów odzyskali nie tylko funkcjonalność zgryzu, ale także pewność siebie dzięki poprawie estetyki uśmiechu. Pacjenci często zwracają uwagę na komfort noszenia implantów, które nie powodują dyskomfortu ani bólu, jak to bywa w przypadku tradycyjnych protez. Warto jednak zauważyć, że niektórzy pacjenci mogą mieć obawy związane z kosztami zabiegu oraz czasem gojenia. Niektórzy wskazują również na potrzebę dodatkowych zabiegów przed wszczepieniem implantu, co może być dla nich nieco stresujące.
Jak przygotować się do zabiegu wszczepienia implantu w Lublinie
Przygotowanie do zabiegu wszczepienia implantu zęba w Lublinie jest kluczowym etapem, który może znacząco wpłynąć na sukces całego procesu. Pierwszym krokiem jest konsultacja ze stomatologiem, który oceni stan zdrowia jamy ustnej oraz przeprowadzi niezbędne badania diagnostyczne. Ważne jest również omówienie historii medycznej pacjenta oraz ewentualnych chorób przewlekłych, które mogą wpłynąć na leczenie. Po postawieniu diagnozy lekarz może zalecić wykonanie zdjęć rentgenowskich lub tomografii komputerowej w celu dokładnego zaplanowania zabiegu. Przed samym zabiegiem warto również zadbać o odpowiednią higienę jamy ustnej oraz unikać palenia papierosów i spożywania alkoholu, ponieważ mogą one negatywnie wpłynąć na proces gojenia. W dniu zabiegu pacjent powinien przybyć do kliniki wypoczęty i dobrze nawodniony; często zaleca się także unikanie posiłków tuż przed wizytą.
Jak długo trwa proces gojenia po wszczepieniu implantu w Lublinie
Proces gojenia po wszczepieniu implantu zęba w Lublinie jest kluczowym etapem, który może trwać od kilku tygodni do kilku miesięcy, w zależności od indywidualnych warunków anatomicznych pacjenta oraz rodzaju zastosowanego implantu. Po wszczepieniu implantu następuje tzw. osteointegracja, czyli proces zrastania się implantu z kością szczęki. Zazwyczaj trwa on od trzech do sześciu miesięcy; w tym czasie ważne jest przestrzeganie zaleceń lekarza dotyczących higieny jamy ustnej oraz unikania nadmiernego obciążania implantu. W przypadku osób z niewystarczającą ilością kości czas gojenia może być dłuższy, zwłaszcza jeśli konieczne były dodatkowe zabiegi regeneracyjne. Po zakończeniu procesu gojenia można przystąpić do wykonania korony protetycznej na implancie; ten etap również wymaga czasu na odpowiednie dopasowanie i wykonanie estetycznej pracy protetycznej.
Jak dbać o implanty zębów po ich wszczepieniu w Lublinie
Dbanie o implanty zębów po ich wszczepieniu jest kluczowe dla zapewnienia ich długotrwałej funkcjonalności oraz estetyki. Po zakończeniu procesu gojenia pacjenci powinni stosować się do zaleceń stomatologa dotyczących higieny jamy ustnej; regularne szczotkowanie zębów oraz nitkowanie to podstawowe czynności, które pomogą utrzymać zdrowe dziąsła wokół implantu. Ważne jest także regularne odwiedzanie dentysty na kontrole; specjalista będzie mógł ocenić stan zdrowia jamy ustnej oraz wykryć ewentualne problemy we wczesnym stadium. Pacjenci powinni unikać twardych pokarmów oraz nadmiernego obciążania implantu przez pierwsze kilka tygodni po jego wszczepieniu; to pomoże uniknąć uszkodzeń lub przemieszczenia implantu. Ponadto warto stosować płyny do płukania jamy ustnej zawierające składniki antybakteryjne, które pomogą utrzymać zdrowe dziąsła i zapobiec stanom zapalnym.
Jak wybrać odpowiednią klinikę stomatologiczną w Lublinie
Wybór odpowiedniej kliniki stomatologicznej do przeprowadzenia zabiegów związanych z implantami zębów w Lublinie jest kluczowy dla osiągnięcia satysfakcjonujących rezultatów leczenia. Na początku warto zwrócić uwagę na doświadczenie lekarzy pracujących w danej klinice; dobrze jest sprawdzić ich kwalifikacje oraz odbyte szkolenia specjalistyczne związane z implantologią. Opinie innych pacjentów są również cennym źródłem informacji; warto poszukać recenzji online lub porozmawiać ze znajomymi, którzy mieli doświadczenie związane z leczeniem implantologicznym. Kolejnym aspektem jest wyposażenie kliniki; nowoczesny sprzęt medyczny oraz komfortowe warunki mogą znacząco wpłynąć na jakość świadczonych usług. Nie bez znaczenia są także ceny oferowane przez klinikę; warto porównywać oferty różnych gabinetów i zwracać uwagę na to, co dokładnie obejmuje cena zabiegów.
Jak wygląda rehabilitacja po wszczepieniu implantów w Lublinie
Rehabilitacja po wszczepieniu implantów zębów w Lublinie to istotny etap procesu leczenia, który ma na celu przywrócenie pełnej funkcjonalności jamy ustnej oraz estetyki uśmiechu. Po zakończeniu procesu gojenia pacjent powinien skonsultować się ze stomatologiem w celu oceny stanu zdrowia implantu oraz otaczających tkanek miękkich. W przypadku wystąpienia jakichkolwiek problemów lekarz może zalecić dodatkowe procedury rehabilitacyjne lub korekcyjne. Ważnym elementem rehabilitacji jest nauka prawidłowego użytkowania implantu; stomatolog powinien nauczyć pacjenta technik higienicznych oraz sposobu dbania o nowo wszczepione zęby.

